野球肘エコー観察について

 

野球肘エコー観察・・・1500円(税込) 月に一度の観察をおすすめいたします。

野球肘エコー観察の必要性

野球肘観察の最大の目的は上腕骨小頭の離断性骨軟骨炎(OCD・肘の外側の障害)を見つけることにある。
離断性骨軟骨炎は上腕骨小頭(肘の外側)の軟骨が剥がれ落ちてしまう障害である。

成長期の野球選手は、内側上顆障害(肘の内側の障害)や腰椎分離症(腰の疲労骨折)、オスグッドやシーバー病などをはじめ
上腕骨小頭の離断性骨軟骨炎にかかるリスクが高い。

上腕骨小頭の離断性骨軟骨炎以外の障害は痛みなどの症状を伴う事が多いが、離断性骨軟骨炎の初期は痛みがない事がほとんどである。選手本人もコーチや監督、両親も気づかず、痛みが現れた頃には病期がかなり進行していることが多く、手術になってしまう事がほとんどである。

よって観察の最大の目的は離断性骨軟骨炎を見つけることなのである。

 

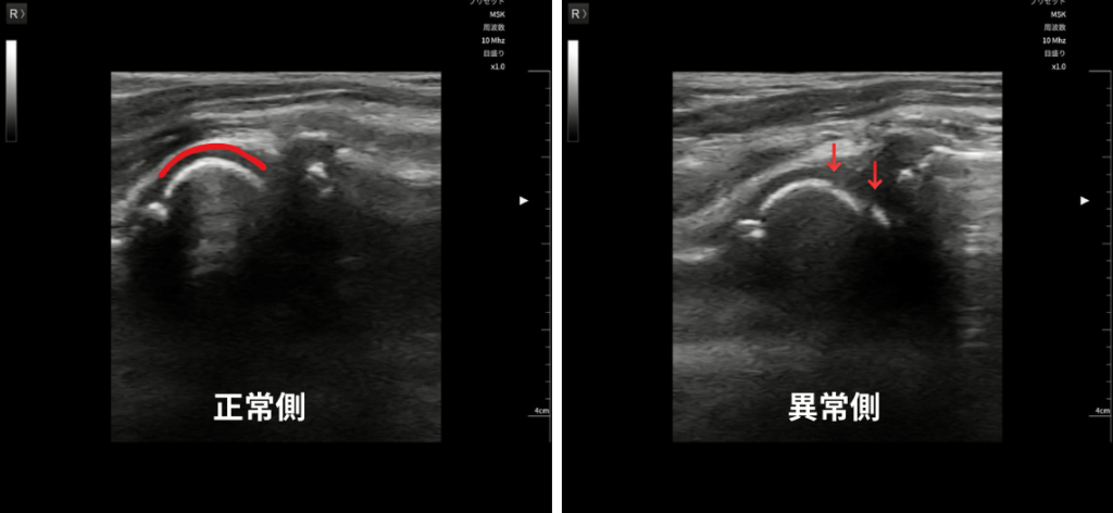
当院で観察した離断性骨軟骨炎の例 ※上部画像のモデルと関係ありません。また矢印部分に障害があることを医師に確認済み。

 

野球肘専門外来の病院に紹介

万が一野球肘エコー観察で少しでも疑われる所見があった場合、すみやかに野球肘専門外来のある病院・医師を紹介いたします。診察して頂き、治療方針をしっかりとお聞きになり、今後注意する点なども聞いておくと良いでしょう。

中には毎月観察していたが、9か月目にして初めて少し異常が見られた例がありました。すぐに病院紹介し、診て頂いたところ早く発見できてよかった。あと少し遅かったら手術だった。と言われた選手もいました。

まずはご両親が痛みの有無にとらわれず、しっかりと危機意識を持つ事が大切です。